Zur Startseite
Virtuelle Forschungsexperimente
für den neurobiologischen Unterricht

Unterrichtsmodul „Cortex — Zellen und Schichten“

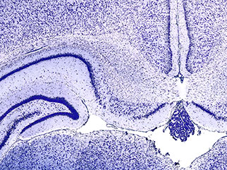
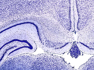
Originale neurobiologische Präparate in der
BrainObserve-Anwendung.

Die Schüler:innen erarbeiten anhand der Nissl-Färbung die Organisation des Cortex. Dafür betrachten sie unterschiedliche Zelltypen und quantifizieren deren Packungsdichte in verschiedenen Bereichen. Weiterhin setzen sich die Schüler:innen mit der charakteristischen Schichtung im Nervengewebe auseinander.

SchülerWissen

Nutze das SchülerWissen, um dich mit wichtigen Grundlagen zu den Inhalten und Forschungsmethoden sowie vertiefendem Detailwissen auf die Experimente vorzubereiten. Die vorbereitenden Inhalte sind in Form von kurzen Sachtexten didaktisch aufbereitet und in einzelnen thematischen Kapiteln organisiert. Deine Lehrkraft kann dadurch das für die Unterrichtsmodule benötigte Hintergrundwissen optimal mit dir und deiner Klasse vorbereiten.

Schüler:innen Arbeitsskript

  1. Arbeitsskript öffnen und runterladen (PDF)
  2. Am Computer interaktiv bearbeiten
  3. Zwischenstände speichern

Arbeitsskript öffnen

BrainObserve-Anwendung